脳出血の妻
脳出血の妻
>
CT写真
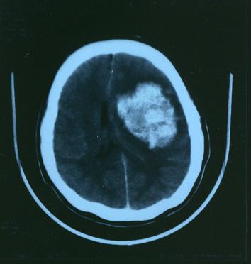
平成15年2
月
4
日の写真
手術前の写真です。
白い部分が出血している箇所です。
出血した量が多く脳の中心の部分まで損傷を受けました。
平成15年2
月5日の写真
手術後の写真です。
ほとんどの出血した血は摘出して頂きました。
写真右側の頭蓋骨が取り外してあるのが良く判ります。
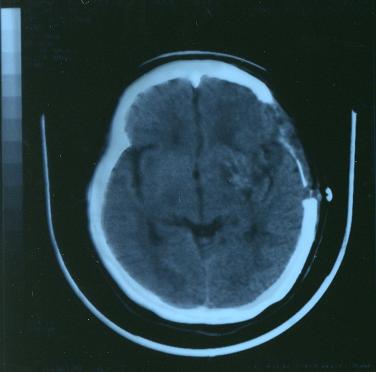
平成15年2
月
10
日の写真
中心のゆがんでいた部分が大分元のように戻って来ています。
又、この写真では良く判りませんが、細かい所に梗塞している箇所があります。
平成15年2
月
18
日の写真
腫れも大分引いて来ました。
損傷している部分が大きいことが良く判ります。
この頃は未だ痛みも分からず意識は全く有りませんでした。
平成15年3
月
11
日の写真
頭蓋骨を戻した手術をした後の写真です。
CT写真
脳出血の妻
リハビリ写真集
アームスリングの制作
経過と状況
各種手続き
リンク集
介護用品
CT写真
Webnodeは革命的なサイトビルダーです。
魅力的なウェブサイトが無料で!
開始する